Your present position: Home > 产品中心 147
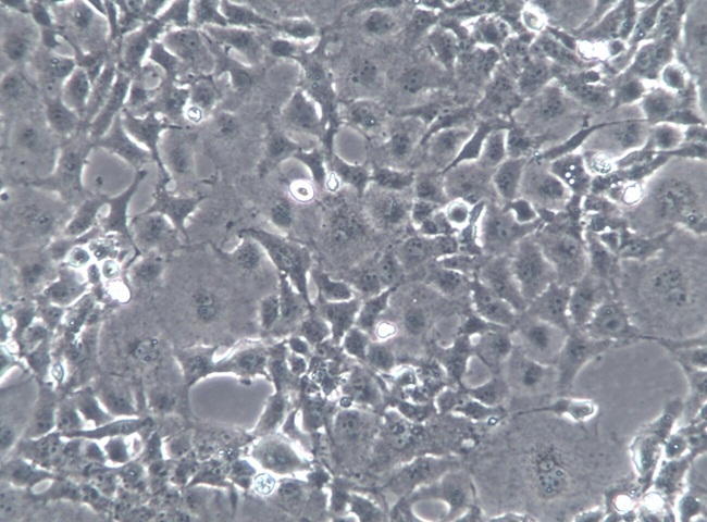
LLC-MK2 恒河猴肾细胞
Product Introduction
目录号 |
CC-Y4039 |
细胞英文(简称) |
LLC-MK2 |
细胞名称 |
LLC-MK2 恒河猴肾细胞 |
背景资料 |
收到细胞,请查看瓶子是否有破裂,培养基是否漏出,是否浑浊,如有请尽快和我们联系。如包装完好,取出25cm2培养瓶,75%酒精消毒,拆下封口膜,在显微镜下观察细胞形态是否正常,细胞的贴壁情况以及细胞密度,然后放入37℃,5%CO2细胞培养箱中静置2-3小时,以稳定细胞状态。 |
细胞来源 |
ATCC |
代次 |
P3 |
规格 |
T25 |
细胞数 |
1x10^6 |
价格 |
¥1800 |
生物安全级别 |
1 |
组织来源 |
肾 |
细胞形态 |
上皮样 |
细胞活力 |
95%(Viability by Trypan Blue Exclusion) |
细胞检测 |
细胞不含有HIV-1、HBV、HCV、支原体、细菌、酵母和真菌 |
培养条件 |
DMEM(高糖)+10% FBS(货号:C2056-1A)+1%P/S;37℃,5% CO2 |
传代方法 |
首次建议1:2传代,两天换液一次 |
冻存条件 |
无血清细胞冻存液(货号:S002) |






