Your present position: Home > 产品中心 147
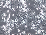
G422;小鼠神经胶质瘤细胞
Product Introduction
目录号 |
CC-Y2119 |
细胞英文(简称) |
G422 |
细胞名称 |
G422;小鼠神经胶质瘤细胞 |
背景资料 |
1964年建株;甲基胆蒽植入Km小鼠脑内诱发星形细胞瘤,传至第120代后转为胶质细胞瘤;瘤细胞悬液同系小鼠皮下、肌肉、脑内移植,成功率皆100%。肌肉及脑内移植可形成较规律的移植性瘤株,存活时间脑内型15.9±4.8天;肌肉型20.3±6.6天。 |
细胞来源 |
ATCC |
代次 |
P3 |
规格 |
T25 |
细胞数 |
1x10^6 cells |
价格 |
¥1480 |
生物安全级别 |
2 |
组织来源 |
胶质 |
细胞形态 |
贴壁 |
细胞活力 |
95%(Viability by Trypan Blue Exclusion) |
细胞检测 |
细胞不含有HIV-1、HBV、HCV、支原体、细菌、酵母和真菌 |
培养条件 |
DMEM(高糖) +10% FBS+1%P/S;37℃,5% CO2 |
传代方法 |
建议1:2-1:3 两天换液一次 |
冻存条件 |
90%FBS+10%DMSO |






